当前位置:首页>安卓APP>【安卓健】两段式 Axiom 2.8 种植体临床评估:一项多中心临床研究的治疗后一年结果

【安卓健】两段式 Axiom 2.8 种植体临床评估:一项多中心临床研究的治疗后一年结果

  • 2026-04-15 19:29:53
【安卓健】两段式 Axiom 2.8 种植体临床评估:一项多中心临床研究的治疗后一年结果

 关注我们,每天都能收到这种好文章!

微信号:kqjy360

投稿邮箱:361687558@qq.com

简介

摘要:

这项前瞻性多中心研究评估了安卓健开发的 Axiom® 2.8 种植体在 1 年、3 年和 5 年期间的临床成功率和可靠性。最初纳入研究的 30 例患者的适应症为单牙缺失(下颌或上颌切牙)。本报告介绍了其中能够收集到所有数据的 24 例患者的一年治疗效果。临床评估基于种植体的稳定性、探诊出血指数、牙周袋深度和患者的主观满意度。此外,在每个阶段都会拍摄局部影像(利用 Kinovea 软件探测骨水平)和照片。负载 1 年后的临床数据与更大直径种植体的相应临床数据相当,证明了 Axiom® 2.8 种植体在此类适应症中的性能。

关键词:

种植体/小直径/前瞻性研究/ Axiom® 2.8/莫氏锥度

引言

在过去 30 年中,各类临床无牙颌修复病例已证实,口腔种植体在发生骨结合后具有非常高的种植成功率。

然而,在下颌切牙和某些上颌侧切牙部位等骨量较少的区域,单颗牙种植存在一定困难。市面上有小直径种植体可用,但使用直径 3mm 以上的窄沟槽种植体修复单个牙缺失的效果欠佳。迄今为止,直径小于等于 3 mm 的种植体产品全部为一体式种植体,需要立即进行临时冠修复,且口内临时冠有时需要调改。

Axiom® 2.8(安卓健)种植体为两段式小直径种植体。Axiom® 2.8 种植体使用的材料规格(Ti-6Al-4V 钛合金)和表面处理技术与安卓健多年来生产的其他种植体相同,植体与基台连接部分为锥形挤压式结构。

一项非干预性多中心临床研究已在法国和瑞士进行,以评估这种两段式窄径种植体在下颌切牙或上颌侧切牙区域完成单个牙修复的临床效果。

这项多中心研究的目的是评估 Axiom® 2.8 种植体 5 年内的临床成功率及其可靠性。本文将介绍该研究一年期中期评估的结果。三年期评估也已计划进行。

材料和方法

有 5 个研究中心的 8 名医务人员参与本研究:

- Patrick Missika 教授/Hervé Tarragano 医生/Philippe Russe 医生:巴黎第七大学口腔外科学院 - Denis Diderot,种植系;

- Patrick Exbrayat 医生:里昂牙科诊所;

- Patrick Limbour 医生/Jérémie Perrin 医生:雷恩口腔外科学院,种植系;

- Abdessamad Boukari 医生:斯特拉斯堡口腔外科学院,种植系;

- Jean-Pierre Bernard 教授:日内瓦牙科学院,种植系。

种植手术全部由经验丰富的种植医生完成。该研究报告已提交至日内瓦伦理委员会。

本研究使用由五级钛制成的柱状非螺丝固位型 Axiom® 2.8(安卓健)种植体,其表面经过 BCP 和酸粗糙处理,采用紧密的锥形内连接,冠方使用烤瓷熔附金属全冠或全瓷冠进行单个牙的冠修复。

研究纳入 30 名患者,其中 24 名患者种植术后随访 1 年。所有患者计划于术后 3 年与术后 5 年再次进行复查。研究者在每个随访阶段进行了牙槽骨 X 线检查、咬合关系观察和前牙列正面观察。对以下指标进行了评估:

种植体稳定性;

- 出血指数;

- 种植体周围探诊深度;

- 患者满意度。

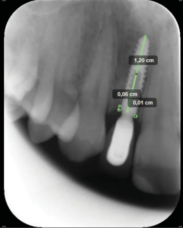
由一名独立评估人员使用 Kinovea 软件对骨组织水平进行了 X 线测量,测量结果用种植体实际长度进行校准(图 2)。研究开始时测量的骨组织水平(首次种植术时骨水平)与种植术后 1 年时测量的骨组织水平之差即为骨吸收。

平均骨组织水平经近中和远中水平值计算得出。

结果

种植术后对 24 例患者进行了为期 1 年的随访。患者平均年龄为 40 岁。

最常用的种植体长度为 14mm(图 3 和图 4);66% 的冠修复采用烤瓷熔附金属全冠,34% 采用全瓷冠。

种植体稳定性评估

在测量的 21 颗种植体中,有 11 颗出现了骨质增加。3 颗种植体在首次种植术时和首次种植术 1 年后的骨组织水平相当。

图2:术后 1 年近、远中骨组织水平测量值。

六颗种植体出现 0 至 1 mm 的骨吸收。一颗种植体的骨吸收超过 2mm(表 1)

术后 1 年出血指数

19 颗种植体出血指数为 0,5 颗种植体出血指数为 1(表 2)。

术后 1 年探诊深度

探诊深度测量值有待与术后 3 年、术后 5 年数据对比得出结论(表 3)。

患者满意度

种植体植入一年后,100% 的患者对手术非常满意或满意(图 5)。

图 3 :植入的种植体长度。

图 4 : 种植体植入位点。

图 5 : 术后 1 年患者满意度。

表 1 : 术后 1 年平均骨吸收。

表 2 : 术后 1 年探诊出血结果。

不良事件

仅一颗种植体因早期种植体周围感染而被取出,其后成功再植。术后 1 年未查及其他出现疼痛或感染迹象的报告。

表 3 : 术后 1 年探诊深度。

3份临床病例展示

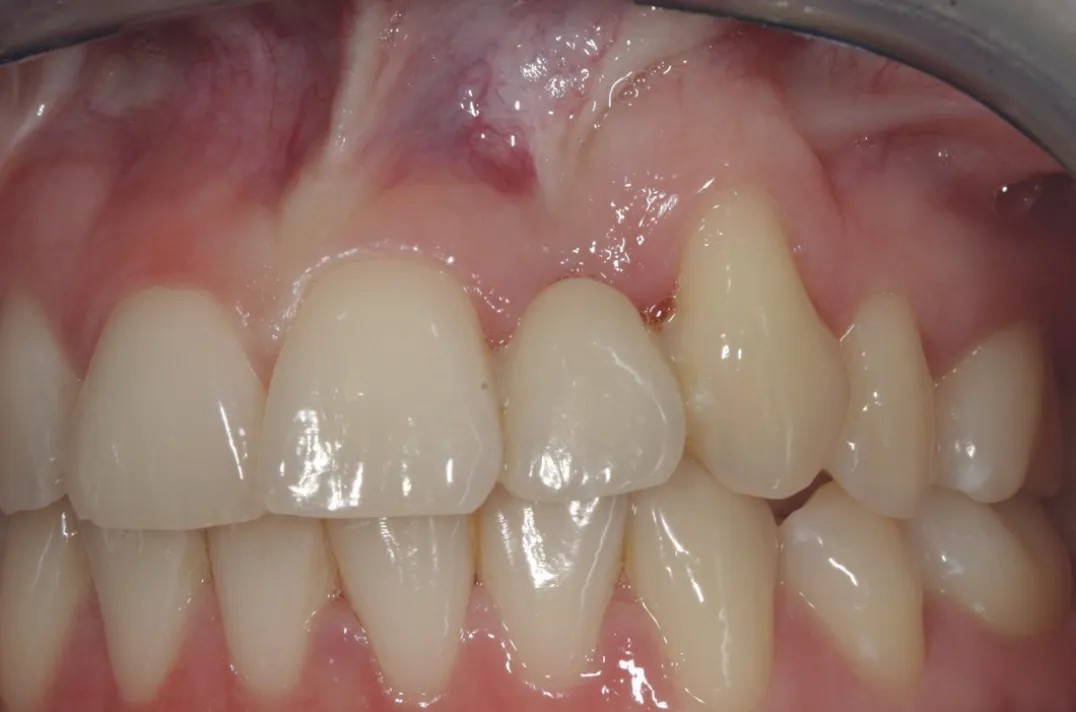
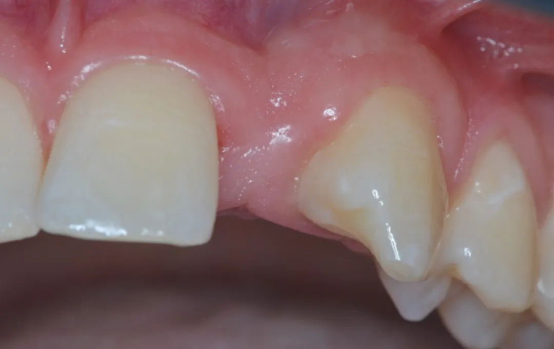
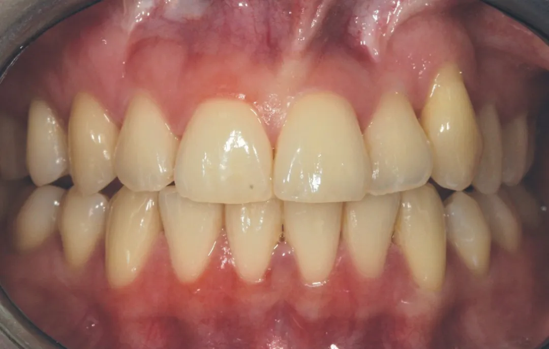
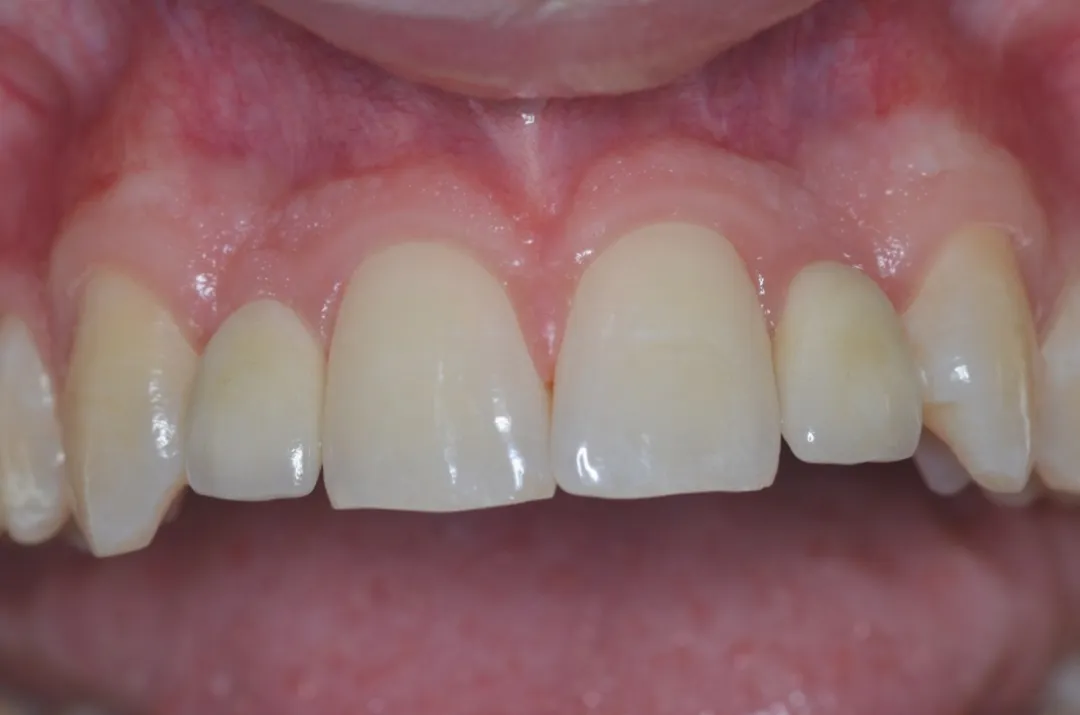
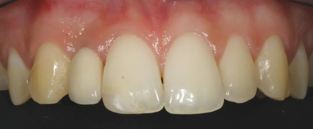
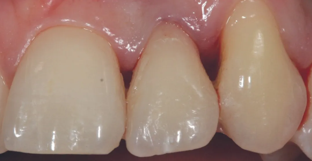
1 号病例 – Philippe RUSSE 医生(图 6 至 20)

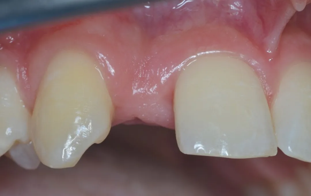
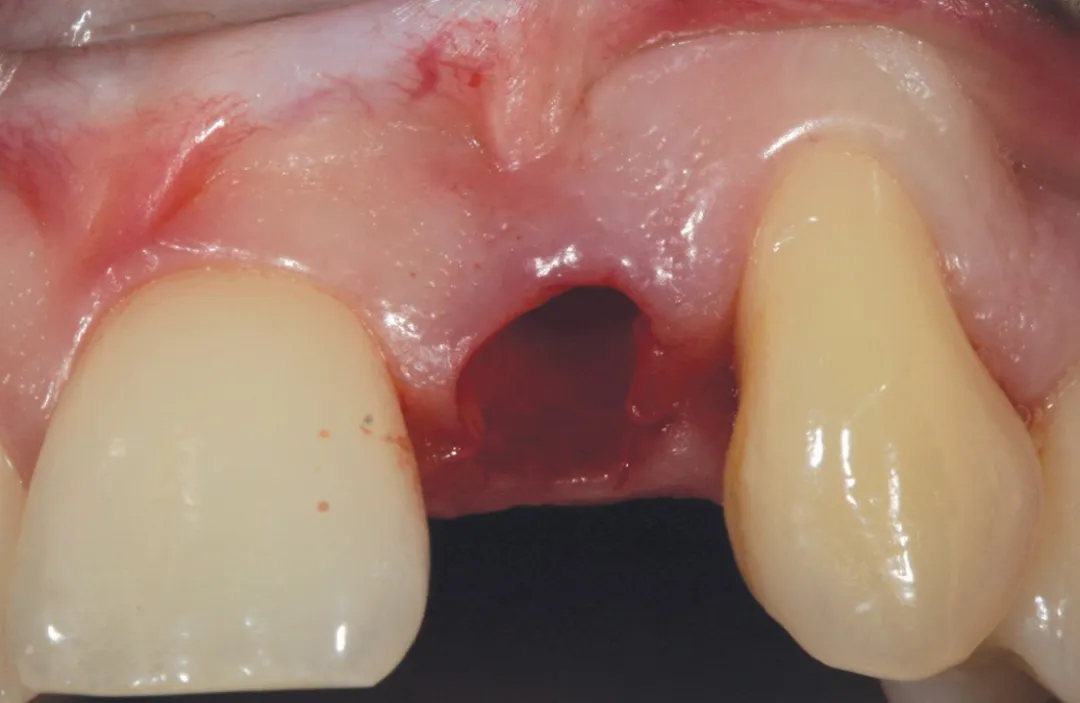
18 岁男性患者,12、22 牙先天缺失。近远中间隙减小,种植区唇颊侧、牙槽嵴顶上方存在凹陷,适合采用小直径种植体。

图 6 : 22 术前情况。

图 7 : 12 术前情况。

图 8 :种植位点。

图 9 :植入 Axiom® 2.8 种植体。

图 10 :植入种植体。

图 11 :聚醚醚酮树脂愈合

图 12 :置入印模转移帽。

图 13 :试戴基台。

图 14 :口内临时修复体。

图 15 :石膏模型上试戴最终修复体。

图 16 :烤瓷熔附金属全冠就位。

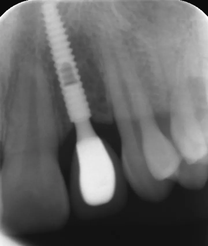
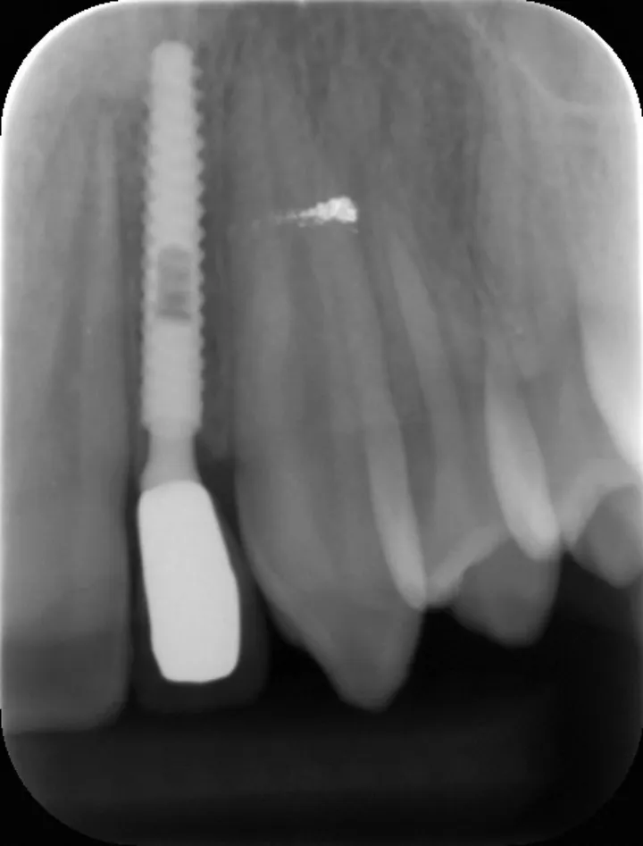
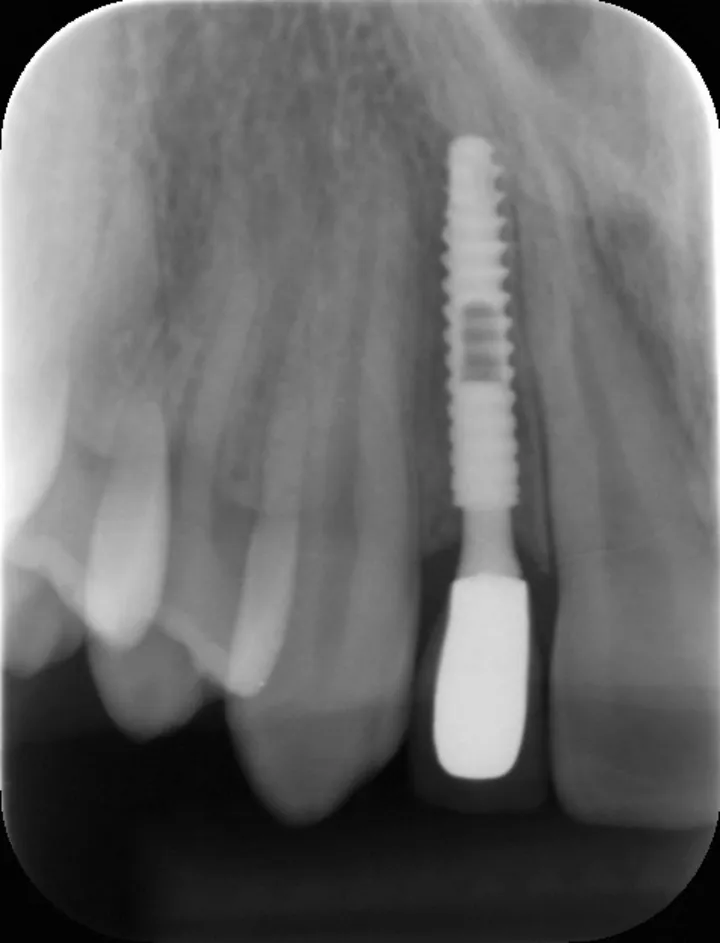
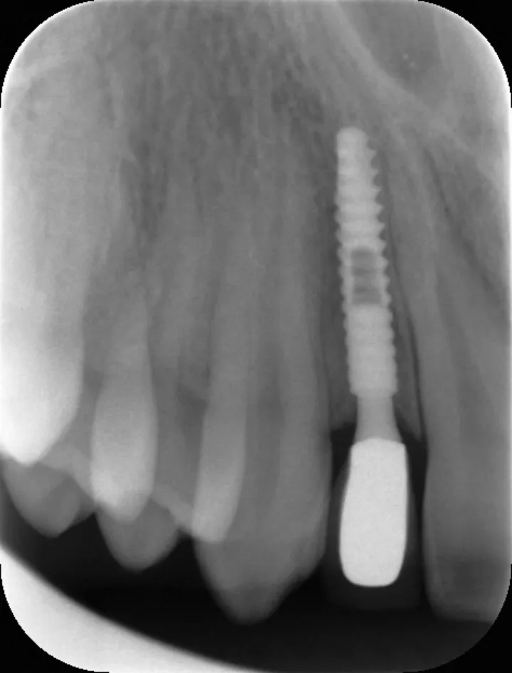
图 17 :12 最终修复完成后 X 线影像。

图 18 :22 最终修复完成后 X 线影像。

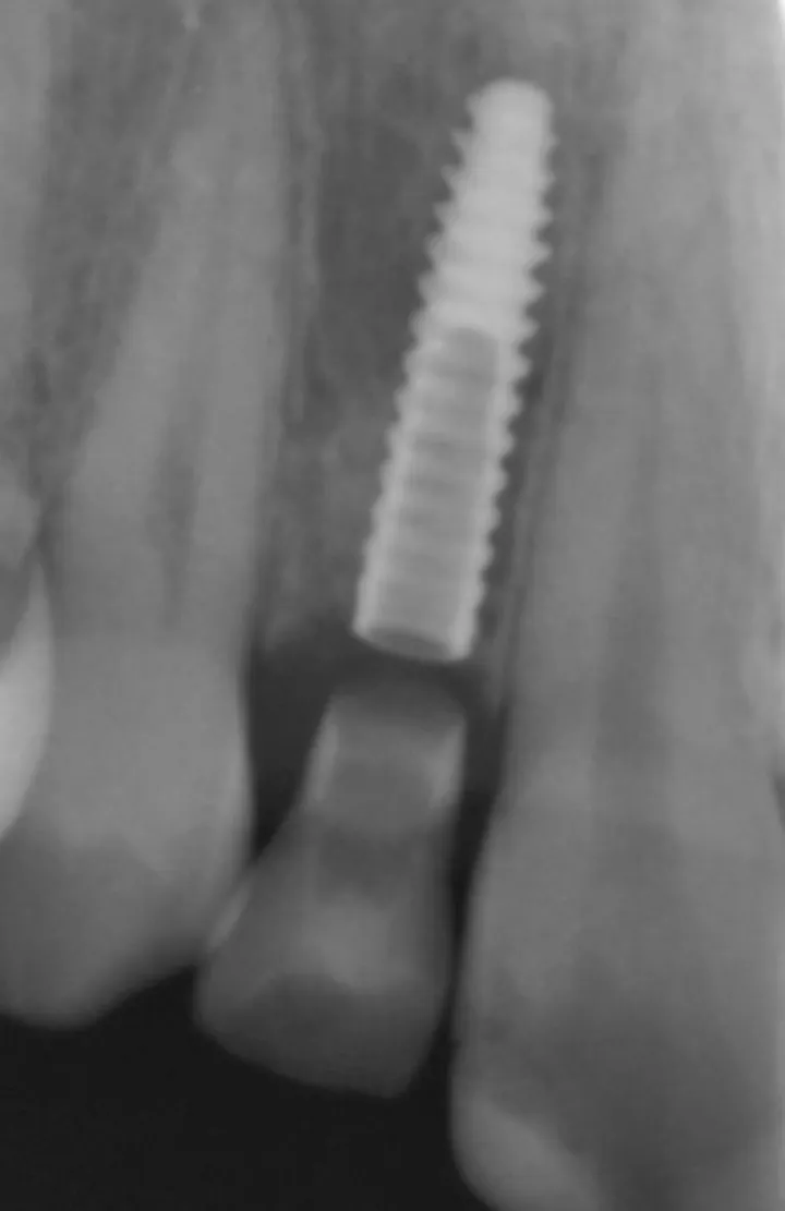
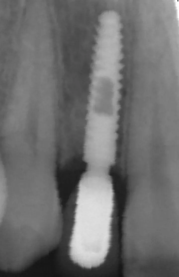
图 19 :12 术后 1 年随访 X 线影像。

图 20 :22 术后 1 年随访 X 线影像。

2 号病例 - Patrick EXBRAYAT 医生(图 21 至 35)

22 岁患者,23 异位,行正颌外科种植术后 22 出现严重根吸收。

图 21 :术前临床检查。

图 22 :术前 X 线检查。

图 23 :拔牙后手术区域。

图 24 :植入 Axiom® 2.8 x 14 种植体。

图 25 :种植体就位。

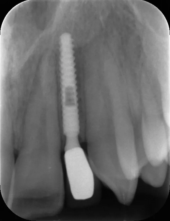
图 26 :术后 X 线检查。

图 27 :安装愈合帽。

图 28 :愈合帽安装完成。

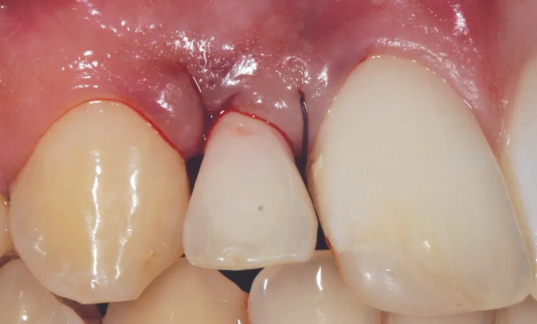
图 29 :临时冠粘接后,腭面观。

图 30 :临时冠粘接后,唇面观。

图 31 :印模转移杆就位。

图 32 :使用聚醚印模材料 (Impregum®) 取模。

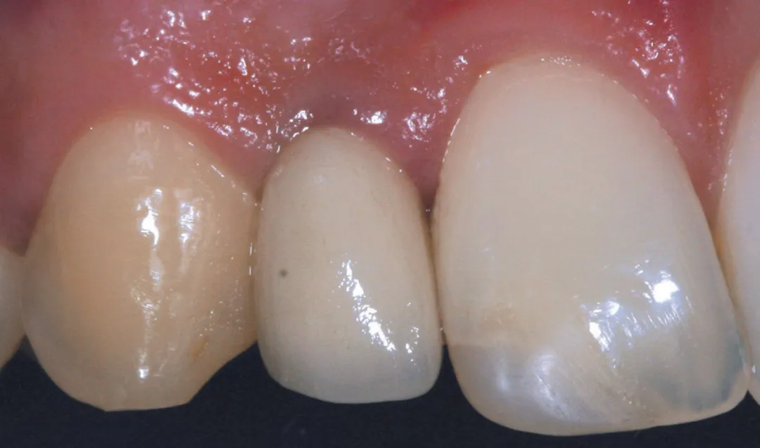
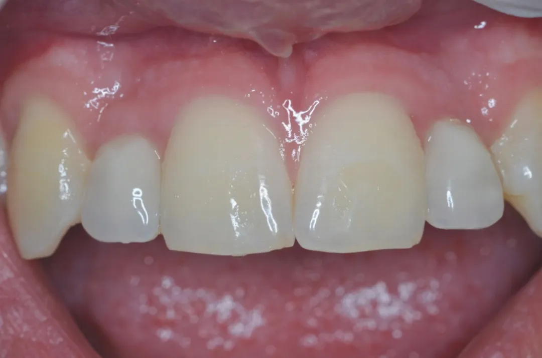
图 33 :最终完成,自然微笑。

图 34 :挤压安装最终修复体。

图 35 :术后 1 年随访 X 线影像。

3 号病例 - Patrick EXBRAYAT 医生(图 36 至 49)

女性患者,侧切牙 12 发育不全,长期使用临时修复手段。

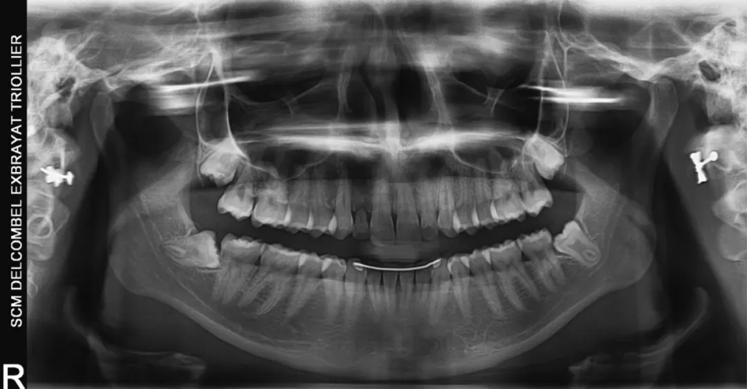
图 36 :术前全景 X 线影像。

图 37 :术前临床情况。

图 38 :拔牙后种植位点。

图 39 :种植体就位。

图 40 :挤压式临时冠修复。

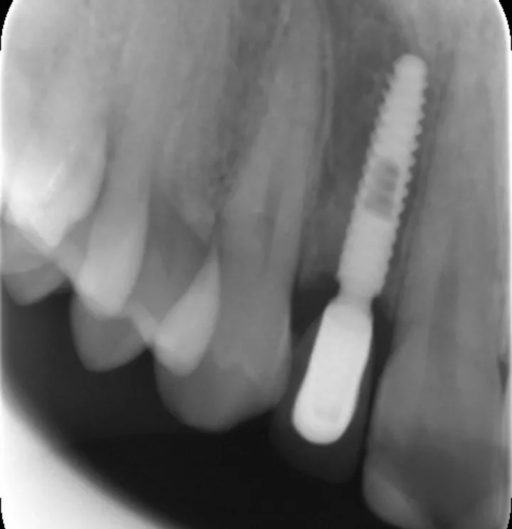
图 41 :术后牙槽骨 X 线影像。

图 42 :修复后 X 线影像。

图 43 :愈合帽。

图 44 :临时基台。

图 45 :烤瓷熔附金属全冠完成。

图 46 :烤瓷熔附金属全冠完成。

图 47 :最终修复体就位。

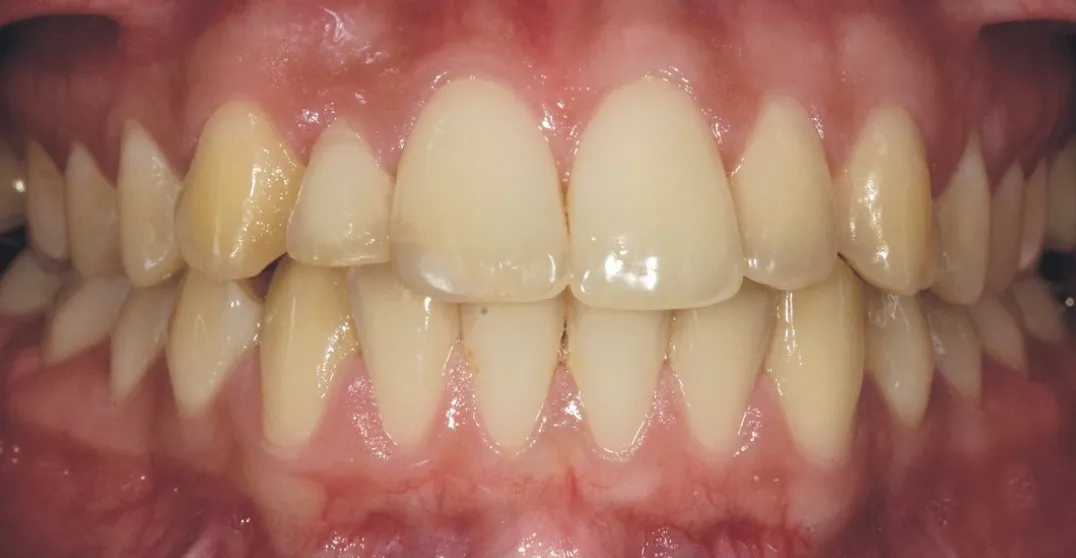
图 48 :术后 1 年口内情况。

图 49 :术后 1 年随访 X 线影像。

讨论

自 Bränemark 等人 [1] 提出骨整合原理以来,种植体周围牙槽骨水平的演变已被视为评估种植牙修复成功与否的主要标准之一。Albrektsson 等人 [2] 认为,外六角连接的种植牙在 X 线片中种植体周围应无透影区,术后第一年垂直向骨吸收应在 1mm 以内,第二年应小于 0.2mm。1981 年,Adell 等人 [3] 的研究表明,以术后一年为研究周期时,50% 以上的骨吸收集中在术后的前三个月。1983 年,他们发现大多数骨吸收发生在安装基台后 12 个月内 [4]

2007 年,Misch 等人 [5] 汇总讨论了众多研究的公认意见,更新了种植体的成功、存活和失败标准,并对 James-Misch 评分量表进行了修改,将种植牙临床结局分为 4 个大类:成功、满意存活、受损存活和失败。如咀嚼过程中无疼痛或敏感,种植体无松动,未见渗出物,自植入后种植体周围骨吸收小于 2mm,则认为种植体在临床上取得成功。

在最后一个指标上,95% 的 Axiom® 2.8 种植体植入 1 年后的评估结果显示植体周围骨吸收少于 2mm,且有一半的种植体显示骨量增加。因此可以得出结论,为本研究目的而植入的种植体有 95% 在临床上是成功的。

24 颗种植体中仅一颗种植体失败,亦可得出结论:种植体植入 1 年后观察到的种植体存活率为 95.8%。所有病例在临床上均未出现基台或种植体折断,从而证实了 Axiom® 2.8 钛合金种植体在本研究所选适应症中的应用是可靠的。

由于直径较小,Axiom® 2.8 种植体适合用于缺牙间隙偏小的病例,尤其是针对上颌侧切牙或下颌切牙的单牙修复。

Barber 和 Seckinger [6] 的报告建议,二人研究中使用的此种 2.9mm 直径种植体可用于下颌切牙种植修复及牙间隙小于 5mm 的病例。

同样,Vigolo 等人 [7] 报告使用此种植体的 193 例种植 7 年后的存活率为 95.3%。

这种挤压式基台连接的可靠性得到了众多临床研究的支持 [8-10],即使在窄直径种植体中,其成功率也可与螺丝固位型连接相当[11]。其主要并发症与传统种植体相同,仅不到 0.5% 的病例存在与连接部件有关的问题。

作者

Philippe Russe

巴黎第七大学种植外科和牙科临床专业大学文凭 (DUCICP)

钙化组织专业大学文凭,昂热前大学医院助理,兰斯上诉法院专家

Patrick Exbrayat

大学高级讲师,里昂执业医师

位于里昂的大学牙周学和口腔种植学系主任

里昂上诉法院专家

Patrick Missika

巴黎狄德罗大学高级讲师,波士顿塔夫斯大学副教授

巴黎上诉法院专家

最高上诉法院批准的国家专家

参考文献

1. Brånemark PI, Hansson BO, Adell R, Breine U, Lindström J, Hallen O et al. Osseointegratedimplantsinthetreatmentoftheedentulousjaw. Experience from a 10-year period. Scand J Plastic Recontr Surg 1977;16:1-132.

2. Albrektsson T, Zarb G, Worthington P, Eriksson AR. The long-term efficacy of currently used dental implants: a review and proposed criteria of success. Int J Oral Maxillofac Implants 1986;1:11-25.

3. Adell R, Lekholm U, Rockler B, Brånemark PI et al. A 15 year study of osseointegrated implants in the treatment of the edentulous jaw. Int. J Oral Surg 1981:10 387-416.

4. Adell R. Clinical results of osseointegrated implants supporting fixed prostheses in edentulous jaws. J Prosthet Dent 1983;50:251-254.

5. Misch CE, Perel ML, Wang HL, Sammartino G, Galindo-Moreno P, Trisi P et al. Implant success, survival, and failure: The International Congress of Oral Implantologists (ICOI) Pisa Consensus Conference. Implant Dentistry 2008;17:5-15.

6. Barber HD, Seckinger RJ. The role of the small-diameter dental implant: a preliminary report on the 

7. Miniplant system. Compendium 1994;15:1390-1392. Clinicalevaluationofsmall- diameter implants in single-tooth and multiple-implant restorations: a 7-year retrospective study. Int J Oral Maxillofac Implants 2004;19:703-709.

8. Mangano C, Mangano F, Shibli JA, Ricci M, Sammons R, Figliuzzi M.

Morse taper connection implants supporting “planned” maxillary and mandibular bar-retained overdentures: a 5-year prospective multi-center study. Clin Oral Impl Res 2011;22:1117-1124.

9. Mangano C, Mangano F, Shibli JA, Tettamanti L, Figliuzzi M, d’Avila S, Piattelli A. Prospective evaluation of 2,549 Morse taper connection implants: 1- to 6-year data. J Periodontol 2011;82:52-61.

10. Mangano C, Iaculli F, Piattelli A, Mangano, F. Fixed restorations supported by Morse-taper connection implants: a retrospective clinical study with 10-20-years of follow-up. Clin Oral Implants Research 2015;26:1229-1236.

11. Mangano F, Shibli JA, Sammons RL, Veronesi G, Piattelli A, Mangano C. Clinical outcome of narrow-diameter (3.3-mm) locking- taper implants: a prospective study with 1-to 10-years of follow-up. Int J Oral Maxillofac

Implants 2014;29:448-455

向下滑动查看更多

特别声明:本研究中使用的种植体制造商法国安卓健公司(法国萨朗什)为此项临床研究提供了部分资金,并捐赠了所用种植体及相关修复组件;尽管如此,研究数据为本文作者所有,赞助商全程未对该研究的实施与结果的发表施加任何干预。

最新文章

随机文章

基本 文件 流程 错误 SQL 调试
  1. 请求信息 : 2026-04-20 20:50:47 HTTP/2.0 GET : https://c.mffb.com.cn/a/480427.html
  2. 运行时间 : 0.094538s [ 吞吐率:10.58req/s ] 内存消耗:4,401.66kb 文件加载:140
  3. 缓存信息 : 0 reads,0 writes
  4. 会话信息 : SESSION_ID=31a575c37d66316ecde54c2a4a319337
  1. /yingpanguazai/ssd/ssd1/www/c.mffb.com.cn/public/index.php ( 0.79 KB )
  2. /yingpanguazai/ssd/ssd1/www/c.mffb.com.cn/vendor/autoload.php ( 0.17 KB )
  3. /yingpanguazai/ssd/ssd1/www/c.mffb.com.cn/vendor/composer/autoload_real.php ( 2.49 KB )
  4. /yingpanguazai/ssd/ssd1/www/c.mffb.com.cn/vendor/composer/platform_check.php ( 0.90 KB )
  5. /yingpanguazai/ssd/ssd1/www/c.mffb.com.cn/vendor/composer/ClassLoader.php ( 14.03 KB )
  6. /yingpanguazai/ssd/ssd1/www/c.mffb.com.cn/vendor/composer/autoload_static.php ( 4.90 KB )
  7. /yingpanguazai/ssd/ssd1/www/c.mffb.com.cn/vendor/topthink/think-helper/src/helper.php ( 8.34 KB )
  8. /yingpanguazai/ssd/ssd1/www/c.mffb.com.cn/vendor/topthink/think-validate/src/helper.php ( 2.19 KB )
  9. /yingpanguazai/ssd/ssd1/www/c.mffb.com.cn/vendor/topthink/think-orm/src/helper.php ( 1.47 KB )
  10. /yingpanguazai/ssd/ssd1/www/c.mffb.com.cn/vendor/topthink/think-orm/stubs/load_stubs.php ( 0.16 KB )
  11. /yingpanguazai/ssd/ssd1/www/c.mffb.com.cn/vendor/topthink/framework/src/think/Exception.php ( 1.69 KB )
  12. /yingpanguazai/ssd/ssd1/www/c.mffb.com.cn/vendor/topthink/think-container/src/Facade.php ( 2.71 KB )
  13. /yingpanguazai/ssd/ssd1/www/c.mffb.com.cn/vendor/symfony/deprecation-contracts/function.php ( 0.99 KB )
  14. /yingpanguazai/ssd/ssd1/www/c.mffb.com.cn/vendor/symfony/polyfill-mbstring/bootstrap.php ( 8.26 KB )
  15. /yingpanguazai/ssd/ssd1/www/c.mffb.com.cn/vendor/symfony/polyfill-mbstring/bootstrap80.php ( 9.78 KB )
  16. /yingpanguazai/ssd/ssd1/www/c.mffb.com.cn/vendor/symfony/var-dumper/Resources/functions/dump.php ( 1.49 KB )
  17. /yingpanguazai/ssd/ssd1/www/c.mffb.com.cn/vendor/topthink/think-dumper/src/helper.php ( 0.18 KB )
  18. /yingpanguazai/ssd/ssd1/www/c.mffb.com.cn/vendor/symfony/var-dumper/VarDumper.php ( 4.30 KB )
  19. /yingpanguazai/ssd/ssd1/www/c.mffb.com.cn/vendor/topthink/framework/src/think/App.php ( 15.30 KB )
  20. /yingpanguazai/ssd/ssd1/www/c.mffb.com.cn/vendor/topthink/think-container/src/Container.php ( 15.76 KB )
  21. /yingpanguazai/ssd/ssd1/www/c.mffb.com.cn/vendor/psr/container/src/ContainerInterface.php ( 1.02 KB )
  22. /yingpanguazai/ssd/ssd1/www/c.mffb.com.cn/app/provider.php ( 0.19 KB )
  23. /yingpanguazai/ssd/ssd1/www/c.mffb.com.cn/vendor/topthink/framework/src/think/Http.php ( 6.04 KB )
  24. /yingpanguazai/ssd/ssd1/www/c.mffb.com.cn/vendor/topthink/think-helper/src/helper/Str.php ( 7.29 KB )
  25. /yingpanguazai/ssd/ssd1/www/c.mffb.com.cn/vendor/topthink/framework/src/think/Env.php ( 4.68 KB )
  26. /yingpanguazai/ssd/ssd1/www/c.mffb.com.cn/app/common.php ( 0.03 KB )
  27. /yingpanguazai/ssd/ssd1/www/c.mffb.com.cn/vendor/topthink/framework/src/helper.php ( 18.78 KB )
  28. /yingpanguazai/ssd/ssd1/www/c.mffb.com.cn/vendor/topthink/framework/src/think/Config.php ( 5.54 KB )
  29. /yingpanguazai/ssd/ssd1/www/c.mffb.com.cn/config/app.php ( 0.95 KB )
  30. /yingpanguazai/ssd/ssd1/www/c.mffb.com.cn/config/cache.php ( 0.78 KB )
  31. /yingpanguazai/ssd/ssd1/www/c.mffb.com.cn/config/console.php ( 0.23 KB )
  32. /yingpanguazai/ssd/ssd1/www/c.mffb.com.cn/config/cookie.php ( 0.56 KB )
  33. /yingpanguazai/ssd/ssd1/www/c.mffb.com.cn/config/database.php ( 2.48 KB )
  34. /yingpanguazai/ssd/ssd1/www/c.mffb.com.cn/vendor/topthink/framework/src/think/facade/Env.php ( 1.67 KB )
  35. /yingpanguazai/ssd/ssd1/www/c.mffb.com.cn/config/filesystem.php ( 0.61 KB )
  36. /yingpanguazai/ssd/ssd1/www/c.mffb.com.cn/config/lang.php ( 0.91 KB )
  37. /yingpanguazai/ssd/ssd1/www/c.mffb.com.cn/config/log.php ( 1.35 KB )
  38. /yingpanguazai/ssd/ssd1/www/c.mffb.com.cn/config/middleware.php ( 0.19 KB )
  39. /yingpanguazai/ssd/ssd1/www/c.mffb.com.cn/config/route.php ( 1.89 KB )
  40. /yingpanguazai/ssd/ssd1/www/c.mffb.com.cn/config/session.php ( 0.57 KB )
  41. /yingpanguazai/ssd/ssd1/www/c.mffb.com.cn/config/trace.php ( 0.34 KB )
  42. /yingpanguazai/ssd/ssd1/www/c.mffb.com.cn/config/view.php ( 0.82 KB )
  43. /yingpanguazai/ssd/ssd1/www/c.mffb.com.cn/app/event.php ( 0.25 KB )
  44. /yingpanguazai/ssd/ssd1/www/c.mffb.com.cn/vendor/topthink/framework/src/think/Event.php ( 7.67 KB )
  45. /yingpanguazai/ssd/ssd1/www/c.mffb.com.cn/app/service.php ( 0.13 KB )
  46. /yingpanguazai/ssd/ssd1/www/c.mffb.com.cn/app/AppService.php ( 0.26 KB )
  47. /yingpanguazai/ssd/ssd1/www/c.mffb.com.cn/vendor/topthink/framework/src/think/Service.php ( 1.64 KB )
  48. /yingpanguazai/ssd/ssd1/www/c.mffb.com.cn/vendor/topthink/framework/src/think/Lang.php ( 7.35 KB )
  49. /yingpanguazai/ssd/ssd1/www/c.mffb.com.cn/vendor/topthink/framework/src/lang/zh-cn.php ( 13.70 KB )
  50. /yingpanguazai/ssd/ssd1/www/c.mffb.com.cn/vendor/topthink/framework/src/think/initializer/Error.php ( 3.31 KB )
  51. /yingpanguazai/ssd/ssd1/www/c.mffb.com.cn/vendor/topthink/framework/src/think/initializer/RegisterService.php ( 1.33 KB )
  52. /yingpanguazai/ssd/ssd1/www/c.mffb.com.cn/vendor/services.php ( 0.14 KB )
  53. /yingpanguazai/ssd/ssd1/www/c.mffb.com.cn/vendor/topthink/framework/src/think/service/PaginatorService.php ( 1.52 KB )
  54. /yingpanguazai/ssd/ssd1/www/c.mffb.com.cn/vendor/topthink/framework/src/think/service/ValidateService.php ( 0.99 KB )
  55. /yingpanguazai/ssd/ssd1/www/c.mffb.com.cn/vendor/topthink/framework/src/think/service/ModelService.php ( 2.04 KB )
  56. /yingpanguazai/ssd/ssd1/www/c.mffb.com.cn/vendor/topthink/think-trace/src/Service.php ( 0.77 KB )
  57. /yingpanguazai/ssd/ssd1/www/c.mffb.com.cn/vendor/topthink/framework/src/think/Middleware.php ( 6.72 KB )
  58. /yingpanguazai/ssd/ssd1/www/c.mffb.com.cn/vendor/topthink/framework/src/think/initializer/BootService.php ( 0.77 KB )
  59. /yingpanguazai/ssd/ssd1/www/c.mffb.com.cn/vendor/topthink/think-orm/src/Paginator.php ( 11.86 KB )
  60. /yingpanguazai/ssd/ssd1/www/c.mffb.com.cn/vendor/topthink/think-validate/src/Validate.php ( 63.20 KB )
  61. /yingpanguazai/ssd/ssd1/www/c.mffb.com.cn/vendor/topthink/think-orm/src/Model.php ( 23.55 KB )
  62. /yingpanguazai/ssd/ssd1/www/c.mffb.com.cn/vendor/topthink/think-orm/src/model/concern/Attribute.php ( 21.05 KB )
  63. /yingpanguazai/ssd/ssd1/www/c.mffb.com.cn/vendor/topthink/think-orm/src/model/concern/AutoWriteData.php ( 4.21 KB )
  64. /yingpanguazai/ssd/ssd1/www/c.mffb.com.cn/vendor/topthink/think-orm/src/model/concern/Conversion.php ( 6.44 KB )
  65. /yingpanguazai/ssd/ssd1/www/c.mffb.com.cn/vendor/topthink/think-orm/src/model/concern/DbConnect.php ( 5.16 KB )
  66. /yingpanguazai/ssd/ssd1/www/c.mffb.com.cn/vendor/topthink/think-orm/src/model/concern/ModelEvent.php ( 2.33 KB )
  67. /yingpanguazai/ssd/ssd1/www/c.mffb.com.cn/vendor/topthink/think-orm/src/model/concern/RelationShip.php ( 28.29 KB )
  68. /yingpanguazai/ssd/ssd1/www/c.mffb.com.cn/vendor/topthink/think-helper/src/contract/Arrayable.php ( 0.09 KB )
  69. /yingpanguazai/ssd/ssd1/www/c.mffb.com.cn/vendor/topthink/think-helper/src/contract/Jsonable.php ( 0.13 KB )
  70. /yingpanguazai/ssd/ssd1/www/c.mffb.com.cn/vendor/topthink/think-orm/src/model/contract/Modelable.php ( 0.09 KB )
  71. /yingpanguazai/ssd/ssd1/www/c.mffb.com.cn/vendor/topthink/framework/src/think/Db.php ( 2.88 KB )
  72. /yingpanguazai/ssd/ssd1/www/c.mffb.com.cn/vendor/topthink/think-orm/src/DbManager.php ( 8.52 KB )
  73. /yingpanguazai/ssd/ssd1/www/c.mffb.com.cn/vendor/topthink/framework/src/think/Log.php ( 6.28 KB )
  74. /yingpanguazai/ssd/ssd1/www/c.mffb.com.cn/vendor/topthink/framework/src/think/Manager.php ( 3.92 KB )
  75. /yingpanguazai/ssd/ssd1/www/c.mffb.com.cn/vendor/psr/log/src/LoggerTrait.php ( 2.69 KB )
  76. /yingpanguazai/ssd/ssd1/www/c.mffb.com.cn/vendor/psr/log/src/LoggerInterface.php ( 2.71 KB )
  77. /yingpanguazai/ssd/ssd1/www/c.mffb.com.cn/vendor/topthink/framework/src/think/Cache.php ( 4.92 KB )
  78. /yingpanguazai/ssd/ssd1/www/c.mffb.com.cn/vendor/psr/simple-cache/src/CacheInterface.php ( 4.71 KB )
  79. /yingpanguazai/ssd/ssd1/www/c.mffb.com.cn/vendor/topthink/think-helper/src/helper/Arr.php ( 16.63 KB )
  80. /yingpanguazai/ssd/ssd1/www/c.mffb.com.cn/vendor/topthink/framework/src/think/cache/driver/File.php ( 7.84 KB )
  81. /yingpanguazai/ssd/ssd1/www/c.mffb.com.cn/vendor/topthink/framework/src/think/cache/Driver.php ( 9.03 KB )
  82. /yingpanguazai/ssd/ssd1/www/c.mffb.com.cn/vendor/topthink/framework/src/think/contract/CacheHandlerInterface.php ( 1.99 KB )
  83. /yingpanguazai/ssd/ssd1/www/c.mffb.com.cn/app/Request.php ( 0.09 KB )
  84. /yingpanguazai/ssd/ssd1/www/c.mffb.com.cn/vendor/topthink/framework/src/think/Request.php ( 55.78 KB )
  85. /yingpanguazai/ssd/ssd1/www/c.mffb.com.cn/app/middleware.php ( 0.25 KB )
  86. /yingpanguazai/ssd/ssd1/www/c.mffb.com.cn/vendor/topthink/framework/src/think/Pipeline.php ( 2.61 KB )
  87. /yingpanguazai/ssd/ssd1/www/c.mffb.com.cn/vendor/topthink/think-trace/src/TraceDebug.php ( 3.40 KB )
  88. /yingpanguazai/ssd/ssd1/www/c.mffb.com.cn/vendor/topthink/framework/src/think/middleware/SessionInit.php ( 1.94 KB )
  89. /yingpanguazai/ssd/ssd1/www/c.mffb.com.cn/vendor/topthink/framework/src/think/Session.php ( 1.80 KB )
  90. /yingpanguazai/ssd/ssd1/www/c.mffb.com.cn/vendor/topthink/framework/src/think/session/driver/File.php ( 6.27 KB )
  91. /yingpanguazai/ssd/ssd1/www/c.mffb.com.cn/vendor/topthink/framework/src/think/contract/SessionHandlerInterface.php ( 0.87 KB )
  92. /yingpanguazai/ssd/ssd1/www/c.mffb.com.cn/vendor/topthink/framework/src/think/session/Store.php ( 7.12 KB )
  93. /yingpanguazai/ssd/ssd1/www/c.mffb.com.cn/vendor/topthink/framework/src/think/Route.php ( 23.73 KB )
  94. /yingpanguazai/ssd/ssd1/www/c.mffb.com.cn/vendor/topthink/framework/src/think/route/RuleName.php ( 5.75 KB )
  95. /yingpanguazai/ssd/ssd1/www/c.mffb.com.cn/vendor/topthink/framework/src/think/route/Domain.php ( 2.53 KB )
  96. /yingpanguazai/ssd/ssd1/www/c.mffb.com.cn/vendor/topthink/framework/src/think/route/RuleGroup.php ( 22.43 KB )
  97. /yingpanguazai/ssd/ssd1/www/c.mffb.com.cn/vendor/topthink/framework/src/think/route/Rule.php ( 26.95 KB )
  98. /yingpanguazai/ssd/ssd1/www/c.mffb.com.cn/vendor/topthink/framework/src/think/route/RuleItem.php ( 9.78 KB )
  99. /yingpanguazai/ssd/ssd1/www/c.mffb.com.cn/route/app.php ( 1.72 KB )
  100. /yingpanguazai/ssd/ssd1/www/c.mffb.com.cn/vendor/topthink/framework/src/think/facade/Route.php ( 4.70 KB )
  101. /yingpanguazai/ssd/ssd1/www/c.mffb.com.cn/vendor/topthink/framework/src/think/route/dispatch/Controller.php ( 4.74 KB )
  102. /yingpanguazai/ssd/ssd1/www/c.mffb.com.cn/vendor/topthink/framework/src/think/route/Dispatch.php ( 10.44 KB )
  103. /yingpanguazai/ssd/ssd1/www/c.mffb.com.cn/app/controller/Index.php ( 4.81 KB )
  104. /yingpanguazai/ssd/ssd1/www/c.mffb.com.cn/app/BaseController.php ( 2.05 KB )
  105. /yingpanguazai/ssd/ssd1/www/c.mffb.com.cn/vendor/topthink/think-orm/src/facade/Db.php ( 0.93 KB )
  106. /yingpanguazai/ssd/ssd1/www/c.mffb.com.cn/vendor/topthink/think-orm/src/db/connector/Mysql.php ( 5.44 KB )
  107. /yingpanguazai/ssd/ssd1/www/c.mffb.com.cn/vendor/topthink/think-orm/src/db/PDOConnection.php ( 52.47 KB )
  108. /yingpanguazai/ssd/ssd1/www/c.mffb.com.cn/vendor/topthink/think-orm/src/db/Connection.php ( 8.39 KB )
  109. /yingpanguazai/ssd/ssd1/www/c.mffb.com.cn/vendor/topthink/think-orm/src/db/ConnectionInterface.php ( 4.57 KB )
  110. /yingpanguazai/ssd/ssd1/www/c.mffb.com.cn/vendor/topthink/think-orm/src/db/builder/Mysql.php ( 16.58 KB )
  111. /yingpanguazai/ssd/ssd1/www/c.mffb.com.cn/vendor/topthink/think-orm/src/db/Builder.php ( 24.06 KB )
  112. /yingpanguazai/ssd/ssd1/www/c.mffb.com.cn/vendor/topthink/think-orm/src/db/BaseBuilder.php ( 27.50 KB )
  113. /yingpanguazai/ssd/ssd1/www/c.mffb.com.cn/vendor/topthink/think-orm/src/db/Query.php ( 15.71 KB )
  114. /yingpanguazai/ssd/ssd1/www/c.mffb.com.cn/vendor/topthink/think-orm/src/db/BaseQuery.php ( 45.13 KB )
  115. /yingpanguazai/ssd/ssd1/www/c.mffb.com.cn/vendor/topthink/think-orm/src/db/concern/TimeFieldQuery.php ( 7.43 KB )
  116. /yingpanguazai/ssd/ssd1/www/c.mffb.com.cn/vendor/topthink/think-orm/src/db/concern/AggregateQuery.php ( 3.26 KB )
  117. /yingpanguazai/ssd/ssd1/www/c.mffb.com.cn/vendor/topthink/think-orm/src/db/concern/ModelRelationQuery.php ( 20.07 KB )
  118. /yingpanguazai/ssd/ssd1/www/c.mffb.com.cn/vendor/topthink/think-orm/src/db/concern/ParamsBind.php ( 3.66 KB )
  119. /yingpanguazai/ssd/ssd1/www/c.mffb.com.cn/vendor/topthink/think-orm/src/db/concern/ResultOperation.php ( 7.01 KB )
  120. /yingpanguazai/ssd/ssd1/www/c.mffb.com.cn/vendor/topthink/think-orm/src/db/concern/WhereQuery.php ( 19.37 KB )
  121. /yingpanguazai/ssd/ssd1/www/c.mffb.com.cn/vendor/topthink/think-orm/src/db/concern/JoinAndViewQuery.php ( 7.11 KB )
  122. /yingpanguazai/ssd/ssd1/www/c.mffb.com.cn/vendor/topthink/think-orm/src/db/concern/TableFieldInfo.php ( 2.63 KB )
  123. /yingpanguazai/ssd/ssd1/www/c.mffb.com.cn/vendor/topthink/think-orm/src/db/concern/Transaction.php ( 2.77 KB )
  124. /yingpanguazai/ssd/ssd1/www/c.mffb.com.cn/vendor/topthink/framework/src/think/log/driver/File.php ( 5.96 KB )
  125. /yingpanguazai/ssd/ssd1/www/c.mffb.com.cn/vendor/topthink/framework/src/think/contract/LogHandlerInterface.php ( 0.86 KB )
  126. /yingpanguazai/ssd/ssd1/www/c.mffb.com.cn/vendor/topthink/framework/src/think/log/Channel.php ( 3.89 KB )
  127. /yingpanguazai/ssd/ssd1/www/c.mffb.com.cn/vendor/topthink/framework/src/think/event/LogRecord.php ( 1.02 KB )
  128. /yingpanguazai/ssd/ssd1/www/c.mffb.com.cn/vendor/topthink/think-helper/src/Collection.php ( 16.47 KB )
  129. /yingpanguazai/ssd/ssd1/www/c.mffb.com.cn/vendor/topthink/framework/src/think/facade/View.php ( 1.70 KB )
  130. /yingpanguazai/ssd/ssd1/www/c.mffb.com.cn/vendor/topthink/framework/src/think/View.php ( 4.39 KB )
  131. /yingpanguazai/ssd/ssd1/www/c.mffb.com.cn/vendor/topthink/framework/src/think/Response.php ( 8.81 KB )
  132. /yingpanguazai/ssd/ssd1/www/c.mffb.com.cn/vendor/topthink/framework/src/think/response/View.php ( 3.29 KB )
  133. /yingpanguazai/ssd/ssd1/www/c.mffb.com.cn/vendor/topthink/framework/src/think/Cookie.php ( 6.06 KB )
  134. /yingpanguazai/ssd/ssd1/www/c.mffb.com.cn/vendor/topthink/think-view/src/Think.php ( 8.38 KB )
  135. /yingpanguazai/ssd/ssd1/www/c.mffb.com.cn/vendor/topthink/framework/src/think/contract/TemplateHandlerInterface.php ( 1.60 KB )
  136. /yingpanguazai/ssd/ssd1/www/c.mffb.com.cn/vendor/topthink/think-template/src/Template.php ( 46.61 KB )
  137. /yingpanguazai/ssd/ssd1/www/c.mffb.com.cn/vendor/topthink/think-template/src/template/driver/File.php ( 2.41 KB )
  138. /yingpanguazai/ssd/ssd1/www/c.mffb.com.cn/vendor/topthink/think-template/src/template/contract/DriverInterface.php ( 0.86 KB )
  139. /yingpanguazai/ssd/ssd1/www/c.mffb.com.cn/runtime/temp/cefbf809ba1a84190cb04b0cb7abcf79.php ( 11.98 KB )
  140. /yingpanguazai/ssd/ssd1/www/c.mffb.com.cn/vendor/topthink/think-trace/src/Html.php ( 4.42 KB )
  1. CONNECT:[ UseTime:0.000553s ] mysql:host=127.0.0.1;port=3306;dbname=c_mffb;charset=utf8mb4
  2. SHOW FULL COLUMNS FROM `fenlei` [ RunTime:0.000725s ]
  3. SELECT * FROM `fenlei` WHERE `fid` = 0 [ RunTime:0.000331s ]
  4. SELECT * FROM `fenlei` WHERE `fid` = 63 [ RunTime:0.000274s ]
  5. SHOW FULL COLUMNS FROM `set` [ RunTime:0.000493s ]
  6. SELECT * FROM `set` [ RunTime:0.000399s ]
  7. SHOW FULL COLUMNS FROM `article` [ RunTime:0.000524s ]
  8. SELECT * FROM `article` WHERE `id` = 480427 LIMIT 1 [ RunTime:0.000489s ]
  9. UPDATE `article` SET `lasttime` = 1776689447 WHERE `id` = 480427 [ RunTime:0.004332s ]
  10. SELECT * FROM `fenlei` WHERE `id` = 64 LIMIT 1 [ RunTime:0.000271s ]
  11. SELECT * FROM `article` WHERE `id` < 480427 ORDER BY `id` DESC LIMIT 1 [ RunTime:0.000481s ]
  12. SELECT * FROM `article` WHERE `id` > 480427 ORDER BY `id` ASC LIMIT 1 [ RunTime:0.000398s ]
  13. SELECT * FROM `article` WHERE `id` < 480427 ORDER BY `id` DESC LIMIT 10 [ RunTime:0.001494s ]
  14. SELECT * FROM `article` WHERE `id` < 480427 ORDER BY `id` DESC LIMIT 10,10 [ RunTime:0.002471s ]
  15. SELECT * FROM `article` WHERE `id` < 480427 ORDER BY `id` DESC LIMIT 20,10 [ RunTime:0.005251s ]
0.096302s